By your side to understand and treat blood disorders
Hematology is a medical specialty focused on diseases of the blood and the immune system. It covers disorders related to red blood cells, white blood cells, platelets, as well as coagulation mechanisms (bleeding or clot formation).
Has your general practitioner referred you to a hematologist in Geneva? Rest assured, hematology addresses many situations, most of which are benign. While we are trained to manage serious conditions, the majority of consultations concern common disorders that simply require a specialist’s opinion and appropriate follow-up.
About
Dr. Audrey Simon
Hematologist in Geneva | FMH Hematology | Onco-Sexology
I welcome you in Geneva for the care of blood disorders, whether benign or malignant. My approach is based on attentive listening, scientific rigor, and close collaboration with your general practitioner.
Trained in Switzerland and internationally, I have been practicing hematology with passion for more than 15 years. I place particular importance on a comprehensive understanding of each situation, respecting both the care pathway and the patient’s individual needs.
I work in network with the main hospitals in Geneva and French-speaking Switzerland to ensure personalized follow-up, always at the forefront of medical advances.
Professional background
-
Hematology Consultant for the MGD Medical Analysis Laboratory
-
University Chief Resident in the Hematology Intensive Care Unit at Grenoble University Hospital (CHU)
-
Chief Resident in Hematology at Geneva University Hospitals (HUG)
-
Chief Resident in Hematology at Lausanne University Hospital (CHUV)
Degrees
-
FMH in Hematology
- FMH General Practitioner
-
Doctor of Medicine (MD)
-
Master of Science in Molecular Biology
Additional training
-
-
Laboratory Practice in Medical Practice
-
Inter-University Diploma in Onco-Sexology
-
Inter-University Diploma in Transplantation and Infection
-
Diploma in Flow Cytometry from the Swiss Cytometry School
-
Languages spoken
- French
- English
Sabrina Jenny
Medical assistant
Sophie Glemet
Nurse
Karine Da Ernestho
Nurse
Accessible care
Online consultation
Compassionate listening
When should you consult a hematologist?
Assessment of anemia or persistent fatigue
Anemia may be a sign of an imbalance in the production or loss of red blood cells. A hematological assessment helps identify the cause and guide appropriate care.
Coagulation disorders (bleeding, unexplained bruises, thrombosis)
Unusual bleeding or the formation of blood clots may reveal a coagulation disorder. A thorough blood test helps determine the cause and prevent complications.
Monitoring of benign hematologic disorders
Some blood abnormalities, although not serious, require regular follow-up to monitor their progression over time.
Follow-up of malignant hematologic disorders
Blood cancers (such as leukemias, lymphomas, or myelomas) require close coordination between specialists to ensure personalized follow-up, based on the most recent therapeutic advances.
Pre-treatment or pre-surgery assessment
Pregnancy and hematologic disorders
Pregnancy is a unique and precious time. Our experienced team provides specialized care for hematologic conditions, offering you support and expertise every step of the way.
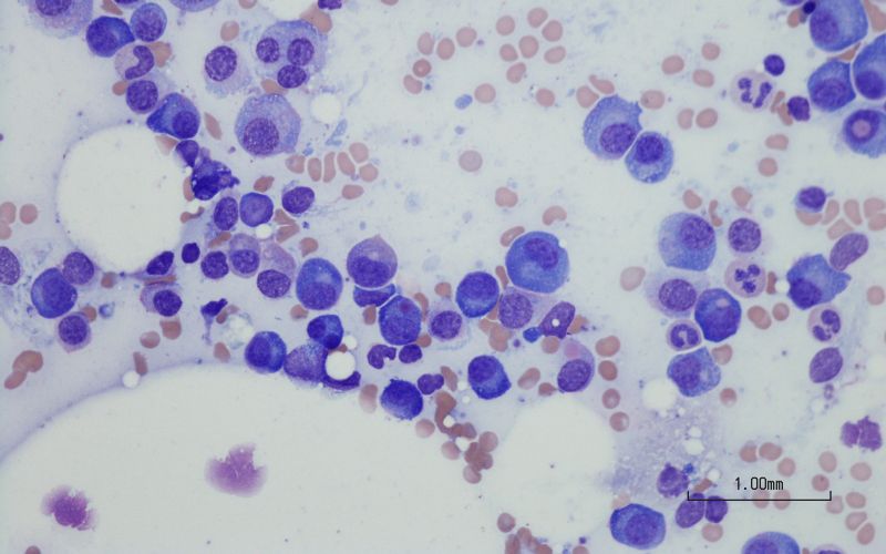
Myelogram
A myelogram is a test where a small sample of bone marrow is taken, usually from the breastbone (sternum) or hip bone (iliac crest). This helps doctors understand how your blood cells are being produced.
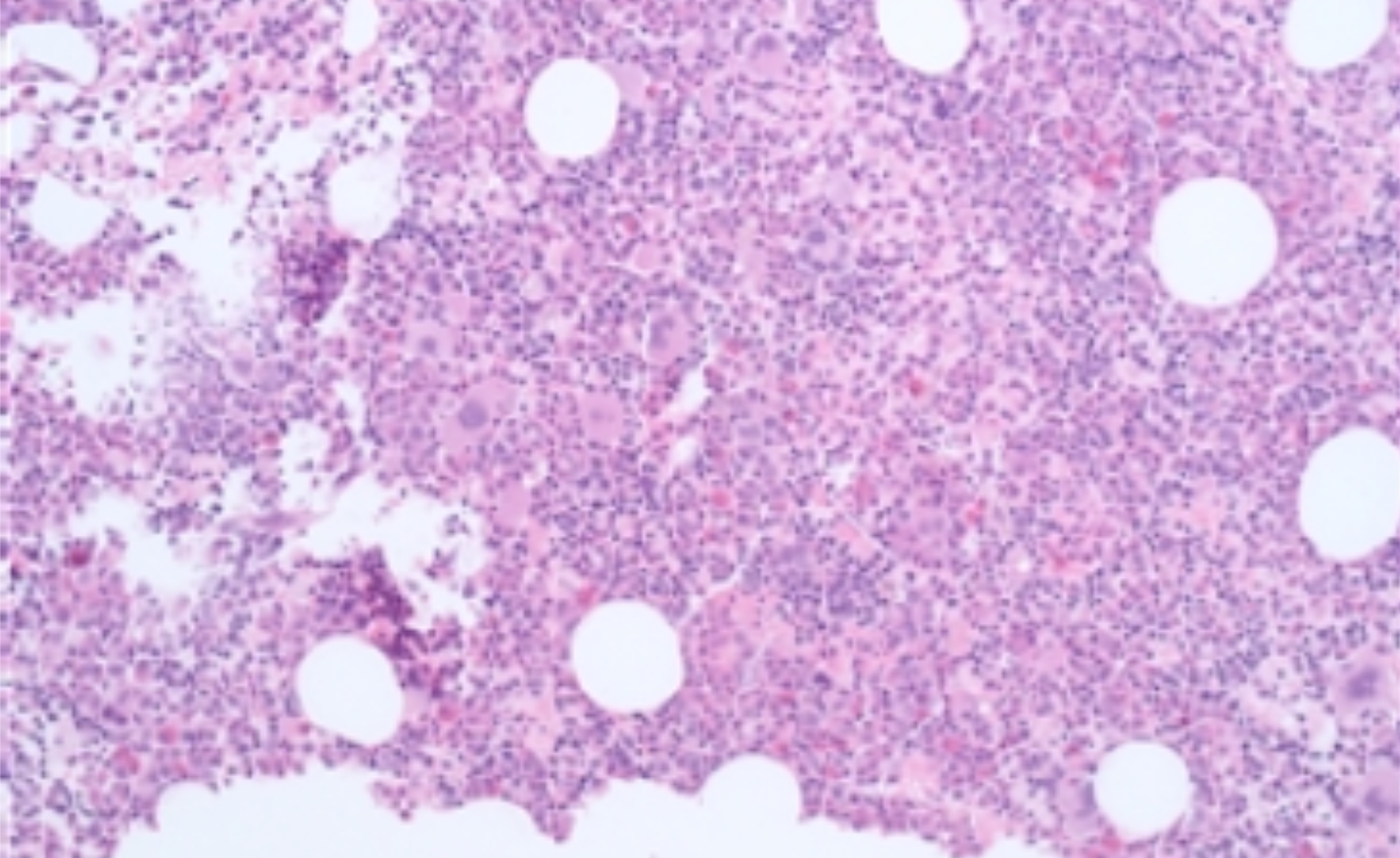
Bone marrow biopsy
A bone marrow biopsy involves taking a very small sample of bone tissue containing marrow, usually done together with a myelogram. This helps doctors study both the bone structure and how the marrow is organized.
FAQ
What is a hematologist?
A hematologist is a doctor who specializes in blood and bone marrow diseases. They help patients with conditions like anemia, bleeding or clotting problems, and certain blood cancers such as leukemia, lymphoma, and myeloma.
When should you consult a hematologist?
Your family doctor may refer you to a hematologist in Geneva if your blood tests are abnormal, or if you experience persistent fatigue, unexplained bleeding, frequent bruising, or if there is a suspicion of a blood disorder.
How to consult a hematologist in Geneva?
To see a hematologist in Geneva, you need a referral letter from your general practitioner as well as a referral voucher, depending on your insurance conditions. This ensures that the consultation is reimbursed by LAMal (Swiss mandatory health insurance).
Do I need a prescription to consult, and is it covered by health insurance?
Depending on your health insurance plan, a referral may be required. In any case, a note from your family doctor explaining the situation is always helpful.
What examinations can be performed during a consultation?
Depending on your case, different tests may be recommended, such as blood tests, bone marrow tests (myelogram or biopsy), or imaging exams like CT or PET scans. These help doctors make a precise diagnosis.
How long does a consultation last?
Your first consultation usually lasts 30 to 45 minutes. This allows us to review your health, medical history, and any tests you may need. Follow-up visits are generally shorter.
Does a hematologist treat blood cancers?
Yes, hematologists treat blood cancers such as leukemia, lymphoma, and myeloma, often working closely with oncology specialists to provide comprehensive care.
Where is the practice located?
The practice is located in Carouge (Geneva), easily accessible by public transport and with parking spaces nearby.
Rue Jacques Grosselin 25
1227 Carouge
How to book an appointment?
You can book an appointment by phone or email.
Phone : 022 827 40 81
Email : hc.nih@yerduanomis.rd.tenibac
Do you speak other languages?
Yes, consultations can be conducted in French and English.
Consultation
Rue Jacques Grosselin 25
1227 Carouge
Visits by appointment only
Phone : 022 827 40 81
Email : hc.nih@yerduanomis.rd.tenibac
Telephone Hours
Monday: 8:30 am – 12:00 pm | 1:00 pm – 4:00 pm
Tuesday: 8:30 am – 12:00 pm | 1:00 pm – 4:00 pm
Wednesday: Closed
Thursday: 8:30 am – 12:00 pm | 1:00 pm – 4:00 pm
Friday: 8:00 am – 12:00 pm
