À vos côtés pour comprendre et traiter les maladies du sang
L’hématologie est une spécialité médicale qui s’intéresse aux maladies du sang et du système immunitaire. Elle englobe les troubles liés aux globules rouges, aux globules blancs, aux plaquettes, ainsi qu’aux mécanismes de coagulation (saignements ou formation de caillots).
Votre médecin généraliste vous a orienté vers un hématologue à Genève ? Rassurez-vous, l’hématologie concerne de nombreuses situations, le plus souvent bénignes. Bien que nous soyons formés pour prendre en charge des pathologies graves, la majorité des consultations concernent des troubles fréquents, nécessitant un avis spécialisé et un suivi adapté.

à propos
Dre Audrey Simon
Hématologue à Genève | FMH Hématologie | Onco-sexologie
Je vous accueille à Genève pour la prise en charge des maladies du sang, qu’elles soient bénignes ou malignes. Mon approche est fondée sur l’écoute, la rigueur scientifique et une collaboration étroite avec votre médecin traitant.
Formée en Suisse et à l’international, je pratique l’hématologie avec passion depuis plus de 15 ans. J’accorde une importance particulière à la compréhension globale de chaque situation, dans le respect du parcours de soin et des besoins du patient.
Je travaille en réseau avec les principaux centres hospitaliers de Genève et de Suisse romande pour assurer un suivi personnalisé et à la pointe des avancées médicales.
Expérience professionnelle
- Consultante en hématologie pour le laboratoire d’analyses médicales MGD
- Cheffe de Clinique Universitaire dans le service des Soins Intensifs d’Hématologie au CHU de Grenoble
- Cheffe de Clinique en Hématologie aux Hôpitaux Universitaires de Genève
- Cheffe de Clinique en Hématologie au Centre Hospitalier Universitaire Vaudois
Diplômes
- FMH Hématologie
- FMH Médecin Praticien
- Doctorat en médecine
- Master de sciences, Biologie Moléculaire
- Formations complémentaires
- Pratique du laboratoire au cabinet médical
- Diplôme Inter-Universitaire Onco-sexologie
- Diplôme Inter-Universitaire Transplantation et Infection
- Diplôme de cytométrie en flux de l’école de cytométrie suisse
Langues parlées
- Français
- Anglais

Sabrina Jenny
Assistante médicale

Sophie Glemet
Infirmière

Karin Daernesto
Infirmière
Disponibilité
Téléconsultation
Écoute attentive
Quand consulter un hématologue ?
Bilan d’anémie ou de fatigue persistante
Une anémie peut être le signe d’un déséquilibre dans la production ou la perte de globules rouges. Un bilan hématologique permet d’en identifier la cause et d’orienter la prise en charge.
Troubles de la coagulation (saignements, bleus inexpliqués, thromboses)
Des saignements inhabituels ou la formation de caillots peuvent révéler un trouble de la coagulation. Un examen approfondi du sang permet d’en déterminer l’origine et de prévenir les complications.
Surveillance d’hémopathies bénignes
Certaines anomalies du sang, bien que non graves, nécessitent un suivi régulier pour en surveiller l’évolution dans le temps.
Suivi d’un diagnostic d’hémopathie maligne
Les maladies du sang de type cancéreux (comme les leucémies, lymphomes ou myélomes) demandent une coordination étroite entre spécialistes pour un suivi personnalisé, fondé sur les avancées thérapeutiques les plus récentes.
Évaluation avant traitement médicamenteux ou intervention chirurgicale
Certains traitements ou chirurgies requièrent une évaluation hématologique préalable afin d’anticiper les risques de saignement ou de complications, et d’assurer une prise en charge optimale.
La grossesse et les pathologies hématologiques
La grossesse est une période rare et précieuse, une prise adaptée par une équipe expérimentée des pathologies hématologiques est nécessaire.
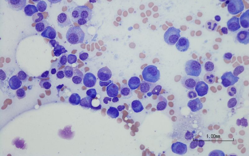
Myélogramme
Examen qui consiste à prélever un échantillon de moelle osseuse, généralement au niveau du sternum ou de l’os iliaque, afin d’analyser la production des cellules sanguines.


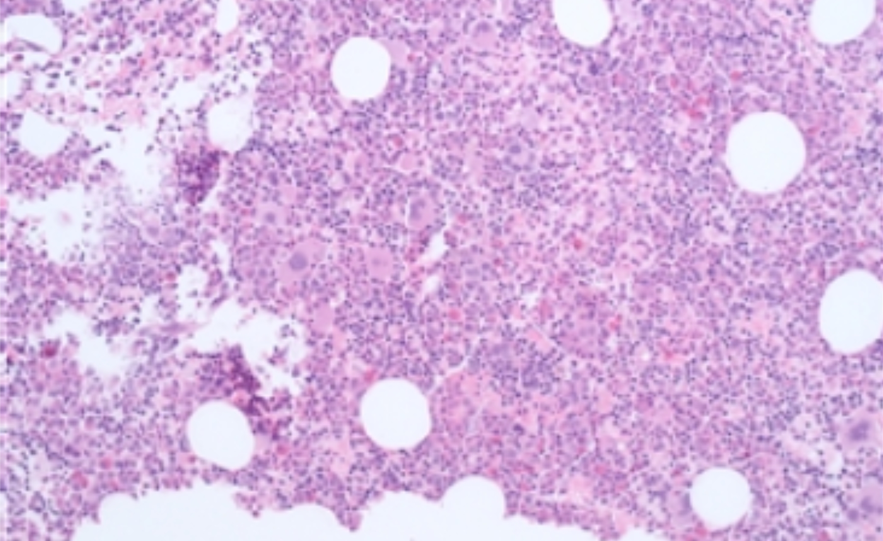
Biopsie ostéo-médullaire
Prélèvement d’un petit fragment d’os contenant de la moelle osseuse, souvent réalisé en complément du myélogramme pour étudier la structure osseuse et l’organisation de la moelle.
FAQ
Qu’est-ce qu’un hématologue ?
Un hématologue est un médecin spécialiste des maladies du sang, de la moelle osseuse et des organes lymphatiques. Il prend en charge des pathologies telles que l’anémie, les troubles de la coagulation, les leucémies, les lymphomes ou encore les myélomes.
Quand consulter un hématologue ?
Vous pouvez être orienté vers un hématologue à Genève par votre médecin généraliste en cas de résultats d’analyses sanguines anormaux, de fatigue persistante, de saignements inexpliqués, d’ecchymoses fréquentes ou de suspicion de maladie du sang.
Comment consulter un hématologue à Genève ?
Pour consulter un hématologue à Genève, il vous faut une lettre de votre médecin traitant ainsi qu’un bon de délégation, selon les conditions de votre assurance. Cela permet que la consultation soit remboursée par la LAMal.
Faut-il une prescription pour consulter et est-ce pris en charge par l'assurance maladie ?
Cela dépend du modèle d’assurance (nécessité pour certains modèles d’avoir des bons de délégation) mais un mot du médecin traitant pour expliquer la situation est toujours apprécié.
Quels examens peuvent être réalisés en consultation ?
Selon votre situation, différents examens peuvent être prescrits : analyses sanguines approfondies, myélogramme, biopsie de moelle osseuse, scanner ou PET-scan, entre autres. Ces examens permettent d’établir un diagnostic précis.
Combien de temps dure une consultation ?
La première consultation dure généralement entre 30 et 45 minutes. Elle permet de faire un point complet sur votre état de santé, vos antécédents médicaux et les examens nécessaires. Les consultations de suivi sont souvent plus courtes.
L’hématologue traite-t-il les cancers du sang ?
Oui, l’hématologue prend en charge les cancers hématologiques comme les leucémies, lymphomes ou myélomes, en coordination avec d’autres spécialistes en oncologie si nécessaire.
Où se situe le cabinet ?
Le cabinet est situé à Carouge (Genève), facilement accessible en transports en commun et avec des places de stationnement à proximité.
Rue Jacques Grosselin 25
1227 Carouge
Comment prendre rendez-vous ?
Vous pouvez prendre rendez-vous par téléphone ou par email.
Téléphone : 022 827 40 81
Email : hc.nih@yerduanomis.rd.tenibac
Parlez-vous d’autres langues ?
Oui, les consultations peuvent se faire en français et en anglais.
Consultation
Rue Jacques Grosselin 25
1227 Carouge
Consultations sur rendez-vous uniquement
Téléphone : 022 827 40 81
Email : hc.nih@yerduanomis.rd.tenibac
Horaire téléphonique
Lundi: 8h30 – 12h00 | 13h00 – 16h00
Mardi: 8h30 – 12h00 | 13h00 – 16h00
Mercredi: fermé
Jeudi: 8h30 – 12h00 | 13h00 – 16h00
Vendredi: 8h00 – 12h00